免疫组化专属-BeyoIHC™系列抗体上线啦! 灵敏度高,背景低,染色更清晰,定位更精准
更多特色产品>>

一抗选的好,免疫组化结果秒!

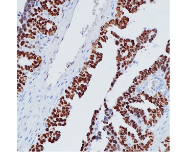
Immunohistochemistry of formalin fixed paraffin embedded human ovarian cancer using BeyoIHC™ WT1 monoclonal antibody at dilution of 1:200.

Immunohistochemistry of formalin fixed paraffin embedded human testis using BeyoIHC™ ACE2 monoclonal antibody at dilution of 1:200.

免疫组织化学(IHC)作为实验室经典技术之一
是科研人的必备实验技能
免疫组化耗时长,步骤多
为了得到特异性染色,获得可靠结论
选择合适的一抗十分关键
作为大家科研路上的忠实小助手
碧云天一次性推出了200余种IHC专属一抗
免疫与炎症相关,细胞骨架/细胞外基质相关
细胞代谢,细胞标志抗体,经典信号通路等种类多多
快来了解一下碧云天的BeyoIHC™系列抗体吧!

碧云天BeyoIHC™系列抗体是经过测试适用于免疫组织化学(IHC)的高品质抗体,也称病理抗体,很大一部分为重组兔单克隆抗体,通过先进的兔单克隆抗体技术平台研发并生产,无需获取动物的脾脏,仅需分离抗原特异性B细胞并通过基因工程方法克隆抗体基因,然后在哺乳动物细胞中重组表达并最终纯化获得。

产品特点:
BeyoIHC™抗体灵敏度更高,背景更低,染色更清晰,定位更精准:BeyoIHC™系列抗体通过反复的筛选和测试,确保灵敏度高、背景低、染色效果好;

BeyoIHC™抗体特异性更强,染色结果更为准确:BeyoIHC™系列抗体大部分都是精心筛选的高效价单克隆抗体,是由单个B细胞淋巴瘤表达,只针对一个抗原表位发生特定的免疫反应,应用于免疫组化时特异性更强,染色结果更为准确。

BeyoIHC™抗体一致性更好,批次间差异更小,结果重复性更好:BeyoIHC™系列抗体很大一部分是重组抗体,具有确定的抗体序列,使用不含任何动物源性物质培养液的哺乳细胞表达体系,生产的可重复性、一致性高,批次间差异小,可避免杂交瘤细胞制备过程中的基因丢失、基因突变和细胞株漂移等问题,所制备的重组抗体的重复性更好;

BeyoIHC™抗体提供免疫染色一抗稀释液:可以用于IHC检测或其它适当用途时的一抗稀释,进一步提高信噪比。

碧云天最新推出的BeyoIHC™抗体大致有如下分类:

免疫与炎症 Bcl-6, BCMA, CD14, CD25, CD31, CD34, CD44, CXCR5…
细胞骨架/细胞外基质 Actin (Smooth Muscle), CD56, COL4A5, Cytokeratin 14, Desmin…
染色质/表观遗传/细胞周期 BRG1, CD2, c-Myc, Cyclin D1, ERG, p16, p53, SMAD4…
细胞代谢 AMACR, CD23, Estrogen Receptor (ER) α, hCG, TTF-1…
MAPK与PI3K/Akt通路 ACE2, ALK, CD117, p120, ZAP-70…
神经科学 GFAP, Olig2, SOX10, Synaptophysin…

详细信息请扫码查看详情哦

相关产品:

产品编号 产品名称 包装 产品价格
A0208 辣根过氧化物酶标记山羊抗兔IgG(H+L) 1ml
A0216 辣根过氧化物酶标记山羊抗小鼠IgG(H+L) 1ml
A0239 碱性磷酸酯酶标记山羊抗兔IgG(H+L) 0.5ml
A0258 碱性磷酸酯酶标记山羊抗小鼠IgG(H+L) 0.5ml
A0277 生物素标记山羊抗兔IgG(H+L) 1ml
A0279 生物素高效标记山羊抗兔IgG(H+L) 0.5ml
A0286 生物素标记山羊抗小鼠IgG(H+L) 1ml
A0288 生物素高效标记山羊抗小鼠IgG(H+L) 0.5ml
A0305 辣根过氧化物酶标记Streptavidin 0.2/1/5ml //
A0308 Biotin标记辣根过氧化物酶 0.2ml
A0312 碱性磷酸酯酶标记Streptavidin 0.2ml
C3206 BCIP/NBT碱性磷酸酯酶显色试剂盒 共100ml
P0081 柠檬酸钠抗原修复液(50X) 100ml
P0083 改进型柠檬酸钠抗原修复液(50X) 100ml
P0084 Tris-EDTA抗原修复液(50X, pH9.0) 100ml
P0085 EDTA抗原修复液(50X) 100ml
P0086 柠檬酸钠-EDTA抗原修复液(40X) 125ml
P0088 通用型强力抗原修复液(10X) 100ml
P0096 免疫染色通透液(Triton X- 100) 100/500ml /
P0098 免疫染色固定液 100/500ml /
P0099 4%多聚甲醛固定液 100/500ml /
P0100A 内源性过氧化物酶封闭液 100ml
P0100B 内源性过氧化物酶强力封闭液 100ml
P0100C 内源性碱性磷酸酶封闭液(20X) 6ml
P0101 生物素检测封闭试剂盒 200次
P0102 免疫染色封闭液 100ml
P0103 免疫染色一抗稀释液 100ml
P0106 免疫染色洗涤液 250ml
P0202 DAB辣根过氧化物酶显色试剂盒 共20ml
P0260 QuickBlock™免疫染色封闭液 100ml
P0262 QuickBlock™免疫染色一抗稀释液 100ml
P0267 QuickBlock™免疫组化染色二抗稀释液 100ml
P0276 SignalUp™免疫染色检测增敏剂 100/500ml /
P0277 SignalUp™免疫染色一抗稀释液 100/500ml /
P0278 SignalUp™免疫染色二抗稀释液 100/500ml /
P0603 SABC-HRP Kit (IHC, ICC, Blotting & ELISA) 1000次
P0606 SABC-AP Kit (IHC, ICC, Blotting&ELISA) 1000次
P0612 SABC-HRP Kit with Anti-Mouse IgG (IHC&ICC) 500次
P0615 SABC-HRP Kit with Anti-Rabbit IgG (IHC&ICC) 500次
P0625 SABC-AP Kit with Anti-Mouse IgG (IHC&ICC) 500次
P0628 SABC-AP Kit with Anti-Rabbit IgG (IHC&ICC) 500次
FPP06B Liquid Blocker Super PAP Pen (免疫组化笔, 蓝色) 1个/袋
FPP06R Liquid Blocker Super PAP Pen (免疫组化笔, 红色) 1个/袋