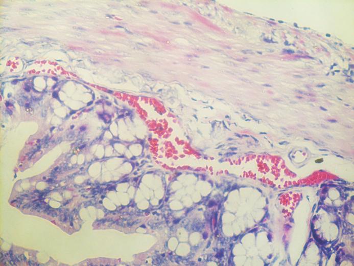
潘氏细胞(Paneth cell)是小肠高度特化的上皮细胞,位于小肠腺基底部,具有致密的分泌颗粒。分泌颗粒中含有用于粘膜防御的抗微生物因子,如溶菌酶(Lyz)和抗微生物肽(AMPs),可调节菌群、帮助维持和调节肠道干细胞,维持着肠道健康。潘氏细胞的缺乏或功能障碍将导致肠道微生物失调、组织再生障碍和各种炎症性疾病。
碧云天全新推出荧光桃红B潘氏细胞染色试剂盒,主要利用荧光桃红B (Phloxine B)将小肠潘氏细胞中的嗜酸性颗粒染为红色,以检测潘氏细胞,监测肠道健康。
产品原理
荧光桃红B,是一种荧光指示剂、染料,主要用于生物染色,可将位于潘氏细胞顶部的嗜酸性颗粒染为红色,且颜色鲜艳;黄G(Orange G)是一种酸碱指示剂、染料,其pH变色范围为11.5(黄)-14.0(橙红),常用于荧光桃红B染色时的复染,使颗粒的颜色在乙醇分色时颜色不易被淡化。
产品特点
✔ 提供荧光桃红B染色所需的主要试剂,包括荧光桃红B染色液、桔黄G复染液,同时提供可以对细胞核进行染色的苏木素染色液;
✔ 使用便捷,易于操作,染色效果鲜明;
✔ 染色液可以重复使用多次,节省试剂;
✔ 适用于冰冻切片或石蜡切片染色;
✔ 还可以用于区分革兰氏阴性菌和革兰氏阳性菌。
产品信息
| 产品编号 | 产品名称 | 包装 | 产品价格 |
| C0626S | 荧光桃红B潘氏细胞染色试剂盒 | 500次 |
相关产品
| 产品编号 | 产品名称 | 包装 | 产品价格 |
| C0105S | 苏木素伊红(HE)染色试剂盒 | >200次 | |
| C0105M | 苏木素伊红(HE)染色试剂盒 | >1000次 | |
| C0107-100ml | 苏木素染色液 | 100ml | |
| C0107-500ml | 苏木素染色液 | 100ml | |
| C0142S | 过碘酸-雪夫(PAS)染色试剂盒 | 100次 | |
| C0142M | 过碘酸-雪夫(PAS)染色试剂盒 | 500次 | |
| C0148S | 成骨细胞矿化结节染色试剂盒(茜素红S法) | 50次 | |
| C0153S | 阿尔新蓝-核固红染色试剂盒(pH1.0) | 100次 | |
| C0153M | 阿尔新蓝-核固红染色试剂盒(pH1.0) | 500次 | |
| C0155S | 阿尔新蓝-核固红染色试剂盒(pH2.5) | 100次 | |
| C0155M | 阿尔新蓝-核固红染色试剂盒(pH2.5) | 500次 | |
| C0158S | 改良油红O染色试剂盒 | 50-250次 | |
| C0158M | 改良油红O染色试剂盒 | 200-1000次 | |
| C0189S | Masson三色染色试剂盒 | 100次 | |
| C0189M | Masson三色染色试剂盒 | 500次 | |
| C0161S | 盐酸乙醇慢速分化液 | 100ml | |
| C0161M | 盐酸乙醇慢速分化液 | 500ml | |
| C0163S | 盐酸乙醇快速分化液 | 100ml | |
| C0163M | 盐酸乙醇快速分化液 | 500ml | |
| C0165S | 盐酸乙醇超快速分化液 | 100ml | |
| C0165M | 盐酸乙醇超快速分化液 | 500ml | |
| C0181 | Kisser封片液 | 10ml | |
| C0183 | Kisser封片液(phenol free) | 10ml | |
| C0185 | PVP封片液 | 10ml | |
| C0187 | 甘油明胶封片液 | 10ml | |
| P0139-1pc | Liquid Blocker Super PAP Pen (免疫组化笔) | 1支 | |
| P0139-5pcs | Liquid Blocker Super PAP Pen (免疫组化笔) | 5支 | |
| P0112S | BeyoCUBIC™ Animal Tissue Optical Clearing Kit | 25ml | |
| P0112M | BeyoCUBIC™ Animal Tissue Optical Clearing Kit | 100ml | |
| P0112L | BeyoCUBIC™ Animal Tissue Optical Clearing Kit | 500ml |